[P-102]

Oturum adı: POSTER SESSION 2 | Oturum salonu: POSTER AREA | Oturum tarihi: 17 Ekim 2014 | Oturum saati: 08:00 - 13:00

İzole grade 5 böbrek yaralanması: Olgu sunumu

Hüseyin Aydemir1, Fikret Halis1, Osman Köse1, Şükrü Kumsar1, Adil Emrah Sonbahar1, Hacı İbrahim Çimen1, Hacı Can Direk1, Orhan Yağmurkaya2, Hasan Salih Sağlam1, Ahmet Gökçe1, Öztuğ Adsan1
1Sağlık Bakanlığı Sakarya Üniversitesi, Eğitim ve Araştırma Hastanesi Üroloji Ana Bilim Dalı,Sakarya
2Sakarya Üniversitesi, Tıp Fakültesi Eğitim ve Araştırma Hastanesi, Genel Cerrahi Ana Bilim Dalı, Sakarya

AMAÇ: Bu çalışmada araç içi trafik kazası(AİTK) nedeniyle oluşan izole grade 5 renal travmalı olguyu sunmayı amaçladık.
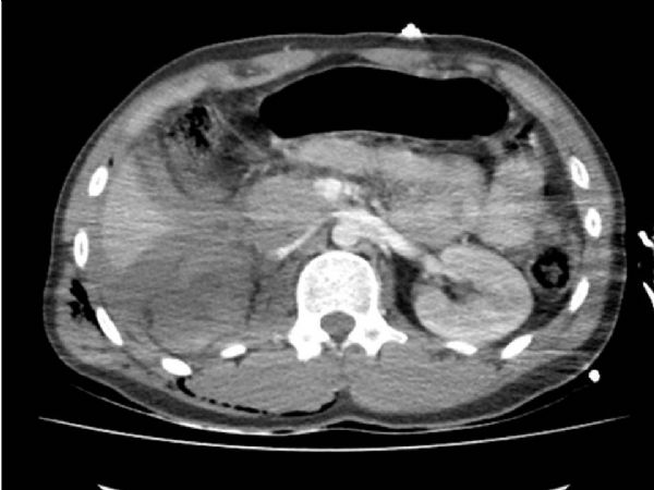
YÖNTEM: Yirmi iki yaşında erkek hasta AİTK nedeniyle acil servise getirildi. Hastanın ilk değerlendirmesinde genel durumunun kötü, şurunun kapalı olduğu gözlendi TA:40/50 mm/Hg Nabız:109/dk. idi. Laboratuarında Hb/Htc: 11/36 olup yapılan kontrastlı tüm vücut tomografisinde sağ böbreğin kontrast tutmaması dışında özellik yoktu. Böbrek konturları normal olarak gözlendi (Resim 1). Vital bulguları stabil olmayan hasta bu bulgular ile acil şartlarda operasyona alındı.
BULGULAR: Batın orta hat insizyon ile katlar geçildi. Batın içinden yoğun hematom boşaltıldı. Barsaklarda herhangi bir yaralanma gözlenmedi. Karaciğer (KC)ve dalak sağlamdı. Sol böbrek konturları normal olarak gözlendi. Sağ tarafta KC’in arkasında retroperitonun açık olduğu ve böbreğin parçalı olarak pedikülünün komplet koptuğu görüldü (Resim 2). Retroperiton bu alanda tamamen açıldı, renal ven ve arterin proksimal kısımları bulunarak ayrı ayrı bağlandı. Cerrahi sahaya dren konularak işlem sonlandırıldı. Hasta postoperatif dönemde ilk üç gün yoğun bakım ünitesinde takip edildi. Hastaya altı ünite kan transfüzyonu yapıldı. Takiplerinde problem olmayan hasta postoperatif 6. gün taburcu edildi.
SONUÇ: Grade 5 böbrek travması nadir dahi olsa gözlenmektedir. Literatürde konservatif yaklaşım ile iyi sonuçlar alınmış olgular bildirilmektedir. Ancak bizim olgumuzda olduğu gibi komplet pedikül kopması olabileceği göz ardı edilmemelidir.

Grade 5 ısollated kidney ınjury: a case report

Hüseyin Aydemir1, Fikret Halis1, Osman Köse1, Şükrü Kumsar1, Adil Emrah Sonbahar1, Hacı İbrahim Çimen1, Hacı Can Direk1, Orhan Yağmurkaya2, Hasan Salih Sağlam1, Ahmet Gökçe1, Öztuğ Adsan1
1Ministry of Health Sakarya University Education and Research Hospital, Department of Urology, Sakarya,Turkey
2Ministry of Health Sakarya University Education and Research Hospital,Department of General Surgery, Sakarya,Turkey

OBJECTIVE: In this study, we aimed to present a patient with grade 5 isolated renal injury caused by in-car traffic accident (ICTA).
METHOD: Twenty-two year old male patient was brought to the emergency department because of ICTA. In the initial assessment: the patient's general condition was bad, and unconsciousness. Blood pressure (BP) was 40/50 mm/Hg and heart rate (HR) was 109/min. Laboratory Hb / Hct: 11/36 and the whole-body CT scan with contrast was unremarkable except right kidney was not contrast enhancement. Normal renal contour was observed (Figure 1). The patient was operated under emergency condition with unstabil vital signs and this findings.
RESULTS: It was passed floors with midline abdominal incision. Intense intraperitoneal hematoma was evacuated.There were no injuries in the intestines. The liver and spleen were intact. The left kidney contour was observed as normal. It was observed that retroperiton is open on the right side, behind the liver and pedicle of the kidney was completely ruptured (Figure 2). Retroperitoneum was fully opened in this area, the proximal portions of the renal vein and artery were found and connected separately. Drain was placed in the surgical site, and the process was terminated. The patient were followed up in the intensive care unit in the first three days of the postoperative period. The patient was transfused with six units of blood. There is no problem during follow-up and the patient was discharged on postoperative day 6.
SONUÇ: Grade 5 isolated renal injury can be observed even rare. In the literature, patients were managed conservatively with good results are reported. However, complete pedicle rupture may be as in our case and this phenomenon should not be ignored.



Resim 1
Figure 1



Resim 2
Figure 2